Home terapi alternatif berisiko

terapi alternatif berisiko

1 Articles
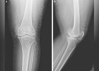
benang emas di lutut pasien
Kesehatan

Dokter Temukan Ratusan Benang Emas Tertanam di Lutut Pasien di Korea Selatan, Terungkap Lewat Rontgen

IKNPOS.ID - Dokter di Korea Selatan terkejut menemukan ratusan benang emas tertanam di lutut seorang pasien wanita berusia 65 tahun. Penemuan tak biasa...